Real Patients. Real Results. Real Stories.

When you’re considering significant dental treatment, nothing speaks louder than the experiences of patients who’ve been in your shoes. These are their stories—unedited, unfiltered, and straight from the people whose lives have been transformed at Misch Implant & Aesthetic Dentistry.

With over 500 five-star reviews and counting, we’re proud that our patients consistently choose to share their experiences. But more than the numbers, it’s the details in these stories that matter—the relief, the confidence, and the gratitude that comes from finally finding the right dental home.

Ready to Write Your Own Success Story?
Call (941) 957-6444

4.9 / 5.0

Based on 500+ reviews

Video Testimonials: Hear Directly from Our Patients

Sometimes words on a page can’t capture the full story. Watch our patients share their experiences in their own words—from their initial concerns to their final results.

Full Arch & Implant Transformations

Amanda's Second Chance: Fixing Failed Implants

After a traumatic experience elsewhere, Amanda found gentle expert care that gave her a perfect smile.

Sarah M.

Retired Officer's Hope: Solving Severe Bone Loss

Told he had too much bone loss for implants, he found hope with advanced zygomatic implant surgery.

Sarah M.

First Smile in 40 Years: Her Life-Changing Story

She covered her mouth for decades. Now she smiles freely after her transformation with Dr. Haring.

Sarah M.

Why Prosthodontic Training Makes a Difference

She researched credentials and found Dr. Harry’s expertise. Custom smile design matched to her features.

Sarah M.

Life-Changing Results

From Hiding to Laughing: His Smile Restoration

He used to hide his smile. Now he laughs all the time with natural-looking teeth nobody suspects.

Sarah M.

After 50 Years in Dentures: Finally Eating Again

Lost teeth at 14, struggled with dentures for 50 years. Now thrilled with implants that stay secure.

Sarah M.

Told "Impossible" for Years: Her Front Tooth Win

Told she’d never get a front tooth implant. Bone graft solved it. Looks natural, eats apples again

Sarah M.

Her Journey: Bleeding Gums to Beautiful Smile

Loose teeth from gum disease, scared of treatment. Found gentle care, minimal swelling, life changed.

Sarah M.

Patient Journeys

Emergency Care Anytime: Why He Stays with Misch

Wore his teeth out, got an implant bridge. Stays for exceptional work and emergency care, even after hours.

Sarah M.

From Fear to Gratitude: His Jaw Saved, Life Changed

Severe jaw bone loss risked fracture. His dentist sent him to Misch. Exceptional results, no regrets.

Sarah M.

From Trauma to Compliments: His Jaw Transformed

Jaw fractured in multiple places, healed, misaligned. Referred to the only specialist who could help.

Sarah M.

From Pain and Uncertainty to Trusted Dental Care

An unexpected accident led him to prompt, thoughtful care and results that restored his comfort and confidence.

Sarah M.

From Living With Pain to Smiling Without Hesitation

After years without chewing or smiling fully, expert care helped him regain comfort and everyday confidence.

Sarah M.

Dental Implant Reviews

Dental implants are our specialty—and our patients’ results speak for themselves. From single tooth replacements to complex cases involving bone loss, these reviews show what’s possible when you trust your care to specialists.

I've had implants done before but this one was a piece of cake.

“I’ve had implants done before but this one was a piece of cake. Doctor Maggie Misch and her team were very professional throughout my procedure. I would definitely recommend Misch dentistry to my friends and family. An added bonus was seeing Dr Maggie’s baby when I entered the office. It’s a wonderful experience—glad I saw your advertisement in my church bulletin.”

— Nick Carpinelli

I walked in hoping for relief, but what I found was so much more.

“In recent years, I dealt with ongoing pain and trouble eating because of serious problems with my upper and lower teeth, like implant infections, molars falling out, bone loss, and an uneven bite. I walked into MISCH dental office simply hoping for relief, but what I found was so much more. Dr. Haring and Luis Flores from Midwest Dental Arts not only replaced the infected implants and treated my receding gums and bone loss, but they also crafted completely new crowns for both the upper and lower arches.”

— Tina Tran

I live in Maryland but always plan for implant surgery to be done in Florida with Misch.

“As usual everyone at Misch Dentistry was cordial, prepared and professional. They were very helpful coordinating my procedure with my Cosmetic Dentist which was much appreciated. I live in Maryland most of the year but always plan for any implant surgery to be done in Florida with Misch.”

— Harriett Haynes

My implants from nearly 24 years ago are still going strong

“My wife, Nancy and I are long-term patients of the Misch’s. We are both so glad that we were referred to them for implant work. Nancy had her implants nearly 24 years ago and they are still going strong. I had mine a few years later, and mine are still going strong, also. Dr. Misch recognized bad blood circulation during anesthesia, stopped working on me immediately. Within several days, I had a successful cardiac quad bypass, in the nick of time. I credit Dr. Misch’s diligence.”

— Nick Carpinelli

Full Mouth Restoration Reviews

Full arch restoration represents some of our most transformative work. These patients came to us with severe dental problems and left with complete, beautiful, functional smiles.

My teeth are really beautiful—they look natural and are unbelievably comfortable.

“After my implants were in place, Dr Haring scanned both upper and lower arches with a state-of-the-art scanner. My ‘Temporary’ teeth were beautiful, and Dr Haring adjusted where needed and my bite was great. Now my ‘full mouth restoration’ is complete and my teeth are really beautiful! They look natural and are unbelievably comfortable. They function like they’re my own—and they are! People notice them. I’m getting compliments!”

— Rose Rosen

Dr. Harry Haring is a top professional — caring, experienced, meticulous.

“First class! Worked me in due to a minor problem. Great dentist and staff. Went on to have a full mouth tooth restoration. Spent most of my time with Dr. Harry Haring. He is a top professional—caring, experienced, meticulous in his concern for quality and appearance. I am very happy with my results and have had many compliments on my new appearance. This dentistry is top notch!”

— Tom Gunn

Bone Grafting Reviews

Many patients are told they “don’t have enough bone” for implants elsewhere. At Misch, bone grafting is a specialty—and these reviews show what’s possible when you work with experts who literally wrote the book on bone augmentation.

I can't brag enough about my results.

“I was referred to Misch Implant by a recently retired dentist who was also a golfing buddy. He recommended Misch and only Misch. My implant also required a bone graft. I can’t brag enough about my results. I don’t know how Dr Misch does it but you don’t feel the injections required to numb your gums. Everyone in the office is as nice and helpful as can be.”

— Drew Hnat

His technique was extraordinary—without causing me any pain.

“Dr. Craig Misch’s technique in pulling my tooth which broke at the gum line including bone grafting without causing me any pain was extraordinary. His calmness, professionalism and expertise was comforting to me as a patient. Dr. Katherine Misch provided me with 2 removable partial dentures which are extremely comfortable. She was very personable and answered all my questions.”

— Jeff Hoffman

Multiple extractions, bone grafts, implants—all within 75 minutes!

“WOW!! I had a painless & comfortable experience today at Dr C. Misch’s! I had multiple extractions, bone grafts, a couple of implants removed & a couple more inserted—all performed within 75 minutes!! I was so at ease that I dozed off! In the past I have had all of the above dental procedures done BUT NEVER AT THE SAME TIME! The only thing I felt was the topical numbing ointment being applied to my gums!”

— Diane Grant

He is known across the world for his skill set.

“Top notch care! I was a little nervous having oral surgery including bone grafting and an implant, but Dr Misch is incredibly experienced and knowledgeable. I did not trust anyone else to perform the same quality surgery and felt at ease the entire time. Dr Misch is very humble, even though he is known across the world for his skill set and quality work, as a leader and expert in his field.”

— Liz Kramer

Second Opinion Reviews

Sometimes the best thing a doctor can do is tell you that you don’t need expensive treatment. These patients came to us after receiving recommendations elsewhere—and found honest answers.

He has three times saved me from expensive procedures proposed by other dentists.

“I always know Dr. Misch will give me the straight story as to what’s going on with my teeth & options for remediation. He has three times saved me from expensive and extensive procedures proposed by other dentists. I’m always going to come here for dental consultation & treatments.”

— Janis Ballard

They said the implant wasn't necessary—best dental news ever!

“First visit and found everyone very professional, friendly and efficient. I wanted a second opinion on a tooth implant a NJ dentist recently recommended and after I had my examination, they said it wasn’t necessary. Best dental news ever! I would definitely visit again if the need arises.”

— Peter Strasser

Other dentists were advising extensive surgery—Dr. Misch assured me none of that was necessary.

“The staff is very kind & welcoming! It was a great experience consulting the expertise of both Dr Craig Misch & his daughter Dr Maggie Misch-Haring. You will recognize and appreciate their extensive knowledge and feel safe in their care. Other dentists & Periodontists were advising extensive surgery & treatments of an implant. Dr Misch assured me none of that was necessary. Truly honest doctors.”

— Cristina Miller

Family of Specialists Reviews

What makes Misch unique is having multiple specialists under one roof—surgeon, periodontist, and prosthodontists working together. These reviews highlight the teamwork our patients experience.

Dr. Maggie and Dr. Harry and their staff are an amazing team.

“I was in need of extensive dental work due to my severe teeth grinding and a rare condition called Parry Romberg syndrome. Having had a poor dental experience and outcome in the past, I was very cautious and researched several doctors before making a decision, even looking at going out of state or out of the country. I am very happy I chose MISCH implant dentistry. Dr. Maggie Misch and Dr. Harry Haring and their staff are an amazing team. Everyone always made me feel very welcome and comfortable.”

— Mary Pardy

Dr. Craig is fantastic—Dr. Katie & Dr. Harry: 2 excellent prosthodontists!

“VERY POSITIVE AND PROFESSIONAL. Dr Craig is fantastic: punctual and attentive. Would that all professionals were like he! Dr. Katie & Dr. Harry: 2 excellent prosthodontists!!”

— Robert Frank

Dr. Craig Misch & Team have created a comfortable bright space.

“Jennifer was wonderful in helping schedule this visit. Front Desk very welcoming. The Dental Asst Nikki was helpful. Dr Craig Misch & Team have created a comfortable bright space to work & the Staff is clearly glad to be a part of the Team. Dr. Craig Misch is highly qualified to address complex cases like mine & spoke to me in terms I can comprehend. He’s approachable, calming & inspires trust.”

— Jeanie Glass

I follow up with Dr. Katherine for routine cleanings—they are professional & caring.

“Dr. Craig Misch did my implants years ago & I follow up with Dr. Katherine Misch for Routine Cleanings & Needs. They are Professional & Caring, putting Patients’ Needs First & the Staff is Friendly & very accommodating. The offices are kept impeccable. I would not hesitate to recommend them ⭐️⭐️⭐️⭐️⭐️”

— Patricia Kiehn

Comfort & Anxiety Reviews

We understand that dental anxiety is real. These patients were nervous—until they experienced the calm, caring environment at Misch.

From the minute you walk in, it feels like a Zen experience.

“From the minute you walk in, it feels like a Zen experience. The front desk is very welcoming and the anxiety levels drop immediately—not usual for a ‘dental’ office. From there on, everyone is professional and engaged in making your appointment less anxious. A caring team of people live here ♥.”

— Darty26 Johnston

I didn't even feel the anesthesia shot which I usually fear the most.

“I had my first appointment with Dr. Craig Misch to start my dental implant. I’m so glad that all went very well—I didn’t even feel the anesthesia shot which I usually fear the most. He and his staff were very friendly, cordial, and professional. It really made me feel calm and comfortable. Highly recommended.”

— Min Yu

I was so at ease that I dozed off.

“I had multiple extractions, bone grafts, a couple of implants removed & a couple more inserted—all performed within 75 minutes!! I was so at ease that I dozed off! In the past I have had all of the above dental procedures done BUT NEVER AT THE SAME TIME! The only thing I felt was the topical numbing ointment being applied to my gums!”

— Diane Grant

Real Results From Real Patients

Every smile we share here represents a real person who trusted our family with theirs. These before-and-after transformations reflect the precision, artistry, and collaborative care that define everything we do at Misch Implant Dentistry. No filters. No retouching. Just honest results from a team that takes your smile as personally as our own.

Porcelain Veneer Smile Transformations

Minimally Invasive Veneers With Implant Crown Restoration

This patient came to us with misalignment that had affected her confidence for years. Rather than aggressive treatment, our team chose a conservative approach — handcrafted minimally invasive veneer restorations combined with a single implant crown. The result corrected her alignment while restoring the natural beauty of her smile, all without unnecessary removal of healthy tooth structure. It’s the kind of thoughtful, personalized care our family believes every patient deserves.

Después
Antes

Before & After

20-Year-Old Porcelain Veneer Replacement — Full Smile Makeover

Porcelain veneers are remarkable restorations, but after two decades of daily life, even the finest work can begin to show its age. This patient presented with 20-year-old veneers that had cracked and faded over time. Our team replaced her entire smile with new restorations in just two visits — giving her a result that looked as though she’d always had it. When you trust a team that builds restorations by hand with this level of precision, the results speak for themselves.

After

From Aging Veneers to a Customized, Natural Smile

Before: This patient’s 20-year-old porcelain veneers had cracked and were well past their lifespan — a common reality for older restorations that were state-of-the-art at the time but have since been surpassed by modern materials and techniques.

Same-Day Temporaries: On the very first visit, our team fabricated custom temporary restorations designed to mirror the final result. This is something we believe every patient deserves — the ability to walk out of our office that same day feeling confident, knowing exactly what the finished smile will look like. These tailored temporaries allow our patients to wear their new teeth before the final restorations are ever made, giving time for adjustments in both function and appearance. We never finalize a single restoration until our patient is 100% satisfied.

Final Restorations: The permanent restorations were crafted to mirror the temporaries almost exactly — because when you take the time to get it right in the temporary phase, the final result is simply a more refined version of a smile the patient has already approved and loved.

Complete Result: The finished smile includes the lower teeth as well, with the upper horizontal plane carefully designed to follow the patient’s lower lip line. This creates a natural, beautiful result that complements the proportions of her entire face — not just her teeth. That’s the difference between placing restorations and designing a smile.

Full Mouth Rehabilitation Results

Rebuilding a Smile Lost to Amelogenesis Imperfecta

This 16-year-old patient had struggled her entire life with amelogenesis imperfecta, a rare congenital condition that prevents enamel from forming on the teeth. For as long as she could remember, her smile was something she hid rather than shared. Our team rebuilt her entire smile using natural-tooth zirconia crowns — restorations strong enough to protect her teeth from future wear and cavities while finally giving her the natural beauty she had always wanted. Watching a young patient smile with genuine confidence for the first time is exactly why our family chose this profession.

Después
Antes

Before & After

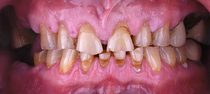
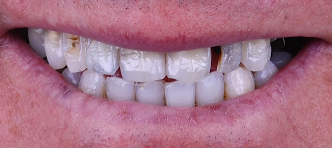
Restoring Worn Teeth Through Complete Oral Rehabilitation

Years of grinding, erosion, and daily wear can quietly diminish a smile until the damage feels overwhelming. This patient had worn down her natural teeth over a lifetime, and the toll was visible in both her appearance and her ability to chew comfortably. Our team provided a full oral rehabilitation using natural-tooth zirconia crowns — restorations designed to replace both the beauty and the strength of her original teeth. Zirconia is strong enough to withstand even the hardest bite forces, meaning this patient’s restored smile isn’t just beautiful — it’s built to last.

Después
Antes

Before & After

Crowns and Veneers Combined for a Complete Smile Restoration

Not every rehabilitation calls for the same solution on every tooth. This patient’s worn teeth required a customized combination of natural-tooth crowns and porcelain veneers — each restoration selected based on the specific needs of each individual tooth. That’s the advantage of having an entire team of specialists working together under one roof. When a prosthodontist, periodontist, and oral surgeon collaborate on every detail of a treatment plan, the result isn’t a compromise — it’s a comprehensive restoration designed to function and look exactly as nature intended.

Después
Antes

Before & After

Replacing Aging Crowns With Natural Translucency and Balance

This patient came to us with older crowns that looked exactly like what they were — artificial. Blocky, opaque, and lacking the subtle translucency that makes a smile look real. Our team fabricated new natural-tooth crown restorations with enough translucency and anatomical detail to bring back her smile’s natural beauty. The result replaced those unesthetic restorations with something that looks like it grew there. Because beauty is not symmetry — beauty is balance.

Después
Antes

Before & After

Full Occlusion Rebuild With Crowns and Implant Crowns

When years of wear compromise not just the appearance of your teeth but the way your entire bite functions, the solution requires more than cosmetic touch-ups. This patient needed a complete occlusal rebuild — and our team delivered. A combination of natural-tooth crowns and implant crowns were designed, fabricated, and placed within a matter of weeks. The rehabilitation rebuilt this patient’s bite to what it once was and is meant to be, creating a result that functions perfectly and will serve her beautifully for many years to come.

Después
Antes

Before & After

Stabilizing a Bite With Implant and Natural Tooth Crowns

A stable bite starts with a solid foundation. This patient needed her posterior teeth replaced with implant crowns first — creating the structural support that the rest of her smile depended on. Once that foundation was secure, our team placed esthetic natural-tooth crowns on her remaining teeth with the confidence that the result would be both long-lasting and stable. It’s a sequential approach that prioritizes function before aesthetics, because when the foundation is right, the beauty follows naturally.

Después
Antes

Before & After

Rescuing Mobile Teeth Through Complete Bite Rehabilitation

Some patients bite with such force that their natural teeth become mobile — shifting to the touch, causing pain, and creating a chain reaction of instability throughout the mouth. This patient was living with that reality every day. Our team performed a comprehensive oral rehabilitation that re-established her natural occlusion and realigned her posterior bite, protecting those once-mobile teeth from further damage. The treatment included replacement of old implant crowns, fabrication of new implant crowns, and natural-tooth crowns — all working together to stabilize her bite and create a smile she could trust again. The teeth that once moved with every touch are now strong, stable, and comfortable.

Después
Antes

Before & After

Natural Crowns for a Natural, Unforgettable Smile

Sometimes the most powerful transformations come from the simplest philosophy: honor what nature intended. This oral rehabilitation used natural-tooth crowns designed to complement this patient’s unique facial features, lip line, and personality. The result is a smile that doesn’t look “done” — it looks like him, only restored to its full potential. That’s the difference between manufacturing a smile and designing one that belongs to the person wearing it.

Después
Antes

Before & After

Full Arch Implant Restoration Results

Full Arch Implant Restorations — Natural, Beautiful, and Strong

For patients who have lost an entire arch of teeth, full arch implant restorations offer something that traditional dentures simply cannot — permanence. These restorations are fixed in place, designed to function and feel like the natural teeth they replace. This patient’s result reflects what our team strives for in every full arch case: restorations that are natural in appearance, beautiful in design, and strong enough to handle everything life demands of a smile.

Después
Antes

Before & After

Rebuilding an Entire Smile From Bone to Beautiful

This patient had lost all of her upper teeth and suffered severe damage to her lower teeth, resulting in a misaligned bite that affected everything from eating to confidence. Our team identified the full scope of the problem, developed a comprehensive plan, and executed the treatment with precision. We rebuilt the bone in her upper jaw, created a blueprint for exactly where the teeth needed to be, and used upper implants combined with lower natural-tooth crowns to rehabilitate a smile built to last for years to come. This is the kind of case that requires every specialist in our family — and it’s exactly why we work together under one roof.

After

A Result That Is Safe, Beautiful, and Natural

A smile that will last. That’s the promise behind every restoration our team designs. This result represents the culmination of careful planning, precise execution, and a commitment to creating something that looks and feels as though it was always meant to be there — safe, beautiful, and undeniably natural.

After

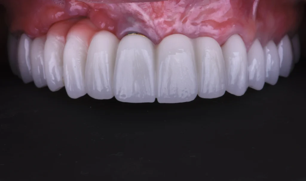
Dental Implant Complication Rescue

Restoring Confidence After Two Failed Implant Attempts

Implant complications, when not properly addressed, can be devastating. This patient came to us after two failed attempts at implant replacement for her front tooth at another office. She arrived with little hope and a smile she was afraid to show. Dr. Haring evaluated her situation and determined that a traditional bridge restoration — not another implant — was the right solution for her unique circumstances. Knowing when not to place an implant is just as important as knowing how to place one. Today, this patient smiles with confidence again, thanks to a team willing to think beyond a single approach and choose the path that truly serves the patient.

Después
Antes

Before & After

World-Renowned Implant Complication Care

Doctors from around the world refer their most difficult implant complication cases to our team — and with good reason. The practitioners at Misch Implant Dentistry are known internationally for their ability to evaluate, plan, and resolve complications that other offices have been unable to address. This patient had suffered for years with complications from a previous failed implant surgery. Our team took the time to fully understand her situation, developed a customized solution, and delivered a result that is both esthetically beautiful and structurally stable. No matter how complex the problem, our family finds a way forward.

After

Esthetic Gum Recontouring Results

Gummy Smile Correction Through Esthetic Crown Lengthening

A “gummy smile” — where excess gum tissue hides the natural length of the teeth — is one of the most common esthetic concerns patients bring to our team. This patient’s teeth were healthy and beautiful, but you’d never know it beneath the extra tissue. Our practitioners performed gingival recontouring, also known as esthetic crown lengthening, to reveal the natural beauty that was already there. The procedure was completed with little to no discomfort, and the transformation was immediate. Sometimes the most dramatic results come from working with what nature already gave you.

Después
Antes

Before & After

Patient Case 3

Después
Antes

Before & After

Patient Case 4

Después
Antes

Before & After

Why Patients Choose Misch

Dr. Harry Misch, a specialist prosthodontist, smiling with a happy patient holding flowers at Misch Implant Dentistry.

25+

Years of Clinical
Excellence in Sarasota

500+ Five-Star Reviews

Our patients consistently rate their experience at the highest level. But we’re most proud of the details in their stories—the complex cases solved, the anxiety relieved, the smiles restored.

Patients Who Travel for Care

When patients fly in from Maryland, New Jersey, and across the country specifically to see Dr. Misch, it says something about the quality of care that’s simply not available elsewhere.

Long-Term Relationships

Many of our reviews mention relationships spanning 10, 15, even 24 years. That’s the difference between a corporate dental chain and a family practice where the same doctors see you year after year.

Honest Recommendations

Perhaps our most meaningful reviews are from patients who came for second opinions—and were told they didn’t need expensive procedures recommended elsewhere. That’s the kind of honesty that builds trust.

Share Your Experience

If you’re a current patient, we’d be honored if you’d share your experience. Your story might be exactly what someone else needs to hear as they make their own decision about dental care.

Ready to Experience the Misch Difference?

These stories represent real patients with real results. If you’re considering dental implants, full arch restoration, or any complex dental work, we invite you to schedule a consultation and see for yourself why patients choose Misch.

Office Location:


Misch Implant & Aesthetic Dentistry


120 South Tuttle Avenue


Sarasota, FL 34237

Serving patients from: Sarasota, Longboat Key, Lakewood Ranch, Siesta Key, Bradenton, Tampa, Fort Myers, and across Florida.